Skip to content Skip to sidebar Skip to footer

Can A Ct Scan Miss A Hernia

Computed Tomography Imaging Findings For Internal Hernia Youtube

Computed Tomography Imaging Findings For Internal Hernia Youtube

Can a ct scan miss a hernia. Most abdominal hernias can be diagnosed on the basis of findings on physical examination or plain films and barium studies. The study found that 25 percent of CT scans and 41 percent of MRI scans accurately diagnosed palpable inguinal hernias. However diagnostic dilemmas can arise when patients are obese or have had surgery.

What could this be. One of the most common imaging tests is computed tomography more commonly known. Click to see full answer.

A CT scan should show a diastasis. The CT showed a hernia on my right side. Thank you so much for your question about a tummy tuckAssuming the CT scan was done and read correctly it really should show a large hernia it can miss a small one.

May 21 2012 6. When the surgeon examined my stomach he found it immediately. Ultrasound showed lump as asymmetric echogenic structure measuring 11 x 06 cm with associated shadowing in the subcutaneous tissues.

Having done quite a lot of research I understand that its possible for the CT scan to miss the hernia as youre lying down at the time its done could this be whats happened or what else could it be. Palpable inguinal hernias were a little easier to detect but the number of misdiagnoses was still high. Yes it can not show on a CT scan and it can also be the doctors reading it overlook a small one.

More important CT findings can be used to diagnose unsuspected hernias and to distinguish hernias from masses of the abdominal wall such as tumors hematomas abscesses undescended testes and aneurysms. Cross-sectional CT scans can show hernias and the contents of the peritoneal sac. No advice on which is better but I will tell you my experience.

CT scan ruled out hernia but didnt show lump. Try to see a hernia specialist or at least a general surgeon that does a lot of hernia repairs.

Ct Scan Of A Patient With A Large Incisional Hernia The Hernia Download Scientific Diagram

Ct Scan Of A Patient With A Large Incisional Hernia The Hernia Download Scientific Diagram

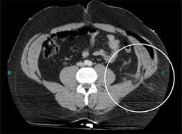
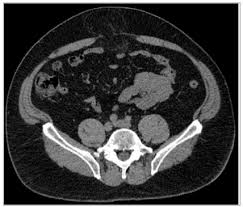
Ct Scan Abdomen Showing Hernia With Divarication Arrows Shows Download Scientific Diagram

Ct Scan Abdomen Showing Hernia With Divarication Arrows Shows Download Scientific Diagram

Abdominal Wall Hernias Imaging Features Complications And Diagnostic Pitfalls At Multi Detector Row Ct Radiographics

Abdominal Wall Hernias Imaging Features Complications And Diagnostic Pitfalls At Multi Detector Row Ct Radiographics

General Surgery News In The News September 13 2016 Surgeon Offers Tips On Use Of Imaging For Hernia Diagnosis By Monica J Smith Washington As She Introduced Her Talk On The Role And Challenges Of Imaging In Groin Pain Particularly In Patients

General Surgery News In The News September 13 2016 Surgeon Offers Tips On Use Of Imaging For Hernia Diagnosis By Monica J Smith Washington As She Introduced Her Talk On The Role And Challenges Of Imaging In Groin Pain Particularly In Patients

Ct Scan Sagittal View Of The Umbilical Hernia Blue Arrow Download Scientific Diagram

Ct Scan Sagittal View Of The Umbilical Hernia Blue Arrow Download Scientific Diagram

Abdominal Wall Hernias Imaging Features Complications And Diagnostic Pitfalls At Multi Detector Row Ct Radiographics

Abdominal Wall Hernias Imaging Features Complications And Diagnostic Pitfalls At Multi Detector Row Ct Radiographics

Abdominal Wall Hernias Imaging Features Complications And Diagnostic Pitfalls At Multi Detector Row Ct Radiographics

Abdominal Wall Hernias Imaging Features Complications And Diagnostic Pitfalls At Multi Detector Row Ct Radiographics

Inguinal Hernia Ct Wikidoc

Inguinal Hernia Ct Wikidoc

2

2

Abdominal Wall Hernias Imaging Features Complications And Diagnostic Pitfalls At Multi Detector Row Ct Radiographics

Abdominal Wall Hernias Imaging Features Complications And Diagnostic Pitfalls At Multi Detector Row Ct Radiographics

Ct Scan Of A Patient With A Large Incisional Hernia The Hernia Download Scientific Diagram

Ct Scan Of A Patient With A Large Incisional Hernia The Hernia Download Scientific Diagram

Scielo Brasil Decomp Report Answers Surgeons Expect From An Abdominal Wall Imaging Exam Decomp Report Answers Surgeons Expect From An Abdominal Wall Imaging Exam

Scielo Brasil Decomp Report Answers Surgeons Expect From An Abdominal Wall Imaging Exam Decomp Report Answers Surgeons Expect From An Abdominal Wall Imaging Exam

Inguinal Hernia Ct Wikidoc

Inguinal Hernia Ct Wikidoc

Vasitis A Rare Diagnosis Mimicking Inguinal Hernia A Case Report Bmc Urology Full Text

Vasitis A Rare Diagnosis Mimicking Inguinal Hernia A Case Report Bmc Urology Full Text

Abdominal Wall Hernias Imaging Features Complications And Diagnostic Pitfalls At Multi Detector Row Ct Radiographics

Abdominal Wall Hernias Imaging Features Complications And Diagnostic Pitfalls At Multi Detector Row Ct Radiographics

Abdominal Wall Hernias Imaging Features Complications And Diagnostic Pitfalls At Multi Detector Row Ct Radiographics

Abdominal Wall Hernias Imaging Features Complications And Diagnostic Pitfalls At Multi Detector Row Ct Radiographics

2

2

Abdominal Wall Hernias Imaging Features Complications And Diagnostic Pitfalls At Multi Detector Row Ct Radiographics

Abdominal Wall Hernias Imaging Features Complications And Diagnostic Pitfalls At Multi Detector Row Ct Radiographics

A Gut Feeling An Extremely Rare Case Of Missed Appendicitis The Western Journal Of Emergency Medicine

A Gut Feeling An Extremely Rare Case Of Missed Appendicitis The Western Journal Of Emergency Medicine

Scielo Brasil Decomp Report Answers Surgeons Expect From An Abdominal Wall Imaging Exam Decomp Report Answers Surgeons Expect From An Abdominal Wall Imaging Exam

Scielo Brasil Decomp Report Answers Surgeons Expect From An Abdominal Wall Imaging Exam Decomp Report Answers Surgeons Expect From An Abdominal Wall Imaging Exam

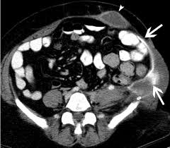
Axial Ct Scan Of The Traumatic Flank Hernia With An Avulsion Of The Download Scientific Diagram

Axial Ct Scan Of The Traumatic Flank Hernia With An Avulsion Of The Download Scientific Diagram

Tricky Internal Hernias Ten Signs To Improve Your Performance European Radiology

Tricky Internal Hernias Ten Signs To Improve Your Performance European Radiology

2

2

What Does

What Does

Abdominal Wall Hernias Imaging Features Complications And Diagnostic Pitfalls At Multi Detector Row Ct Radiographics

Abdominal Wall Hernias Imaging Features Complications And Diagnostic Pitfalls At Multi Detector Row Ct Radiographics

Mdct Imaging In Spigelian Hernia Clinical And Surgical Implications Clinical Imaging

Mdct Imaging In Spigelian Hernia Clinical And Surgical Implications Clinical Imaging

Spigelian Hernia Symptoms Diagnosis And Recovery

Spigelian Hernia Symptoms Diagnosis And Recovery

General Surgery News In The News September 13 2016 Surgeon Offers Tips On Use Of Imaging For Hernia Diagnosis By Monica J Smith Washington As She Introduced Her Talk On The Role And Challenges Of Imaging In Groin Pain Particularly In Patients

General Surgery News In The News September 13 2016 Surgeon Offers Tips On Use Of Imaging For Hernia Diagnosis By Monica J Smith Washington As She Introduced Her Talk On The Role And Challenges Of Imaging In Groin Pain Particularly In Patients

Hernias In Kids Cincinnati Children S Blog

Hernias In Kids Cincinnati Children S Blog

Abdominal Ct Scan Information Mount Sinai New York

Abdominal Ct Scan Information Mount Sinai New York

Traumatic Abdominal Wall Hernia Easily Missed Springerlink

Traumatic Abdominal Wall Hernia Easily Missed Springerlink

Hiatus Hernia Radiology Case Radiopaedia Org

Hiatus Hernia Radiology Case Radiopaedia Org

A Rare Presentation Of Spigelian Hernia Involving The Appendix Sciencedirect

A Rare Presentation Of Spigelian Hernia Involving The Appendix Sciencedirect

What Are The Advantages Of An Abdominal Mri Over An Abdominal Ct Scan Can An Abdominal Mri Detect Additional Things Which An Abdominal Ct Scan Will Miss Quora

What Are The Advantages Of An Abdominal Mri Over An Abdominal Ct Scan Can An Abdominal Mri Detect Additional Things Which An Abdominal Ct Scan Will Miss Quora

Scielo Brasil Decomp Report Answers Surgeons Expect From An Abdominal Wall Imaging Exam Decomp Report Answers Surgeons Expect From An Abdominal Wall Imaging Exam

Scielo Brasil Decomp Report Answers Surgeons Expect From An Abdominal Wall Imaging Exam Decomp Report Answers Surgeons Expect From An Abdominal Wall Imaging Exam

Easy To Miss Signs Of A Hernia Diagnosis And Treatment

Easy To Miss Signs Of A Hernia Diagnosis And Treatment

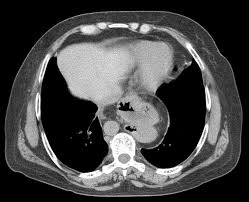
A Large Intra Abdominal Hiatal Hernia As A Rare Cause Of Dyspnea

A Large Intra Abdominal Hiatal Hernia As A Rare Cause Of Dyspnea

Mistakes In Acute Abdominal Ct And How To Avoid Them Ueg United European Gastroenterology

Mistakes In Acute Abdominal Ct And How To Avoid Them Ueg United European Gastroenterology

Emdocs Net Emergency Medicine Educationinternal Hernias A Rare But Cannot Miss Diagnosis Emdocs Net Emergency Medicine Education

Emdocs Net Emergency Medicine Educationinternal Hernias A Rare But Cannot Miss Diagnosis Emdocs Net Emergency Medicine Education

Amyand S Hernia A Rare Cause Of Acute Inguinal Pain Emra

Amyand S Hernia A Rare Cause Of Acute Inguinal Pain Emra

Mdct Imaging In Spigelian Hernia Clinical And Surgical Implications Clinical Imaging

Mdct Imaging In Spigelian Hernia Clinical And Surgical Implications Clinical Imaging

Imaging Of Hernias Intechopen

Imaging Of Hernias Intechopen

Emdocs Net Emergency Medicine Educationinternal Hernias A Rare But Cannot Miss Diagnosis Emdocs Net Emergency Medicine Education

Emdocs Net Emergency Medicine Educationinternal Hernias A Rare But Cannot Miss Diagnosis Emdocs Net Emergency Medicine Education

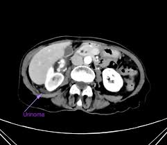
Obstructing Renal Stone With Collecting System Rupture Radiology Case Radiopaedia Org

Obstructing Renal Stone With Collecting System Rupture Radiology Case Radiopaedia Org

Bir Publications

Bir Publications

Imaging Of Hernias Intechopen

Imaging Of Hernias Intechopen

Mistakes In Acute Abdominal Ct And How To Avoid Them Ueg United European Gastroenterology

Mistakes In Acute Abdominal Ct And How To Avoid Them Ueg United European Gastroenterology

2

2

Groin

Groin

Try to see a hernia specialist or at least a general surgeon that does a lot of hernia repairs.

A small hernia is best diagnosed by a careful physical examination. A CT scan should show a diastasis. No advice on which is better but I will tell you my experience. Palpable inguinal hernias were a little easier to detect but the number of misdiagnoses was still high. Hello I early 30s F was wondering if anyone had an experience like this or some advice. Ultrasound showed lump as asymmetric echogenic structure measuring 11 x 06 cm with associated shadowing in the subcutaneous tissues. Dumanian suspects a hernia but cannot confirm it based on a physical examination alone he may recommend an imaging test. Yes it can not show on a CT scan and it can also be the doctors reading it overlook a small one. Most abdominal hernias can be diagnosed on the basis of findings on physical examination or plain films and barium studies.


When I was pregnant I developed a hernia. The dr did scans a few months after the baby was born. When the surgeon examined my stomach he found it immediately. An occult hernia or hidden hernia also commonly referred to as an occult inguinal hernia is an undetectable mass of herniated tissue. Cross-sectional CT scans can show hernias and the contents of the peritoneal sac. Tiny fat umbilical hernia found during a CT scan but my doctor opted to leave it alone during a laparoscopy for cyst removal 3 weeks ago. Try to see a hernia specialist or at least a general surgeon that does a lot of hernia repairs.

Post a Comment for "Can A Ct Scan Miss A Hernia"