Skip to content Skip to sidebar Skip to footer

Baby Teeth Coming In Brown

Baby S Tooth Coming In Brown Babycenter

Baby S Tooth Coming In Brown Babycenter

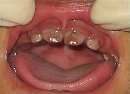
Baby teeth coming in brown. Since the enamel is translucent the color of the dentin shows through it is this generic difference between the structure of permanent and primary teeth that gives a yellow hue to permanent teeth. Cavities dental caries are the most common oral disease that affects children from infancy through adolescenceCavities are decayed areas on teeth that develop into tiny holes. Candy and soda which due to their sugary nature stick on the surface of your babys teeth and.

It also happened with an ex-boyfriends nephew. Yellow or brown spots on teeth. If you notice the spots become brown or yellow this may indicate ongoing decay stemming from poor dental care and habits.

Take a look at Teething Baby Pictures to see more pictures of baby teeth coming in. They are caused by enamel mineral loss. Infant medications containing iron such as supplemental vitamins may cause dark stains on baby teeth.

You can clearly see that the gums are raised up slightly where the new tooth will be coming in. Applying a product like petroleum jelly to create a protective barrier helps too. Teething often leads to more drooling and all that extra moisture can irritate babys sensitive skin.

White spots seen on baby teeth are actually early tooth decay signs. Your childs teeth may start turning black due to. Because of the position of the permanent teeth under the gums the baby teeth resting on them caused an enamel deformity of the tooth resembling a cavity.

Taking the antibiotic tetracycline during pregnancy can cause a child to have discolored baby teeth too. Gently wipe babys face with a soft cloth or bib to help prevent this. It may be deposition from that.

Some drugs such as tetracycline may have the risk of discoloring the babys teeth if the mother has them during pregnancy. Babies who take iron supplements also exhibit blackish discoloration on teeth.

Child Front Tooth Brown Bauer Smiles

Child Front Tooth Brown Bauer Smiles

My Baby S Teeth Are Brown Babycenter

My Baby S Teeth Are Brown Babycenter

Baby Teeth Are Important Niagara Region Ontario

Baby Teeth Are Important Niagara Region Ontario

White Or Brown Spots On Baby Teeth Crest

White Or Brown Spots On Baby Teeth Crest

Holes On Baby Teeth March 2016 Babies Forums What To Expect

Holes On Baby Teeth March 2016 Babies Forums What To Expect

Brown Staining Of Child S Teeth Due To Fluorosis Stock Image M782 0081 Science Photo Library

Brown Staining Of Child S Teeth Due To Fluorosis Stock Image M782 0081 Science Photo Library

Asktheexpert Baby Teeth Getting Black Brown Spots Is It Go Naturally Or Need Any Medication Pls Advice Firstcry Parenting

Asktheexpert Baby Teeth Getting Black Brown Spots Is It Go Naturally Or Need Any Medication Pls Advice Firstcry Parenting

Tooth Eruption And Teething In Children The Pharmaceutical Journal

Tooth Eruption And Teething In Children The Pharmaceutical Journal

I Attached A Pic Of My Baby S Teeth You Can See Lower Right Side Teeth A Dark Gray Spot And He Is Not Using Tooth Brush That S Why I Brush His Teeth With

I Attached A Pic Of My Baby S Teeth You Can See Lower Right Side Teeth A Dark Gray Spot And He Is Not Using Tooth Brush That S Why I Brush His Teeth With

How To Check Your Baby S Teeth Sydney Doctors

How To Check Your Baby S Teeth Sydney Doctors

Teeth Coming In Crooked V Shaped January 2018 Babies Forums What To Expect

Teeth Coming In Crooked V Shaped January 2018 Babies Forums What To Expect

Dental Issues Of Prematurity Hand To Hold

Dental Issues Of Prematurity Hand To Hold

Baby Teeth Oral Answers

Baby Teeth Oral Answers

Rotten Teeth Pictures Kids Toddlers Symptoms And Treatment

Rotten Teeth Pictures Kids Toddlers Symptoms And Treatment

Enamel Hypoplasia Heights Pediatric Dentistry Orthodontics

Enamel Hypoplasia Heights Pediatric Dentistry Orthodontics

Spots On Baby S First Teeth September 2019 Babies Forums What To Expect

Spots On Baby S First Teeth September 2019 Babies Forums What To Expect

Dark Tooth Why Your Child Has A Discolored Tooth Oral Answers

Dark Tooth Why Your Child Has A Discolored Tooth Oral Answers

Why Are My Teeth Discolored Part 2 Intelligent Dental

Why Are My Teeth Discolored Part 2 Intelligent Dental

Adult Permanent Teeth Coming Front Child Baby Teeth Shark Teeth Stock Photo By C Kseniyapalchik 443585044

Adult Permanent Teeth Coming Front Child Baby Teeth Shark Teeth Stock Photo By C Kseniyapalchik 443585044

Yellow Spot On Just Erupted Baby Tooth Babycenter

Yellow Spot On Just Erupted Baby Tooth Babycenter

What To Do When Your Child Loses A Tooth Rogue River Family Dental Rockford Mi Dentistry

What To Do When Your Child Loses A Tooth Rogue River Family Dental Rockford Mi Dentistry

The Secrets In Baby Teeth Proto Magazine

The Secrets In Baby Teeth Proto Magazine

Are Red Spots On My Baby S Gums Normal Ask The Dentist

Are Red Spots On My Baby S Gums Normal Ask The Dentist

Baby S First Tooth Coming In

Baby S First Tooth Coming In

Shelby S 2nd Tooth Is Coming In Mommymandy L Texas Mom Blog

Shelby S 2nd Tooth Is Coming In Mommymandy L Texas Mom Blog

Dental Questions Are My Child S Front Teeth Coming In Normally

Dental Questions Are My Child S Front Teeth Coming In Normally

Shark Teeth Permanent Teeth Erupt When Baby Teeth Are Still Present

Shark Teeth Permanent Teeth Erupt When Baby Teeth Are Still Present

Baby Teeth Crooked How To Handle It Children S Dentistry

Baby Teeth Crooked How To Handle It Children S Dentistry

Baby Teeth What To Expect Inner Banks Dental

Baby Teeth What To Expect Inner Banks Dental

How To Wiggle Loose Baby Teeth Sprout Pediatric Dentistry Orthodontics

How To Wiggle Loose Baby Teeth Sprout Pediatric Dentistry Orthodontics

My Four Year Old Son S Teeth Went Black And Rotted After He Refused To Brush Them Now He S Got Three Crowns Fitted On His Baby Molars

My Four Year Old Son S Teeth Went Black And Rotted After He Refused To Brush Them Now He S Got Three Crowns Fitted On His Baby Molars

Teeth Coming In Out Of Order Babycenter

Teeth Coming In Out Of Order Babycenter

Mint Kids Dentistry What Is The Difference Between Plaque And Tartar And How To Control Them Mint Kids Dentistry

Mint Kids Dentistry What Is The Difference Between Plaque And Tartar And How To Control Them Mint Kids Dentistry

9 Things Every Parent Needs To Know About Baby Teeth Highland Dental Group

9 Things Every Parent Needs To Know About Baby Teeth Highland Dental Group

Different Types Of White Spots On Teeth And What They Mean Hancock Village Dental

Different Types Of White Spots On Teeth And What They Mean Hancock Village Dental

Faq Are The Stains On My Child S Teeth Cavities Discovery Pediatric Dentistry

Faq Are The Stains On My Child S Teeth Cavities Discovery Pediatric Dentistry

Young Female Childs Teeth Image Shows Stock Photo Edit Now 286681892

Young Female Childs Teeth Image Shows Stock Photo Edit Now 286681892

Parent To Parent All You Need To Know About Your Child S Teeth Huffpost Life

Parent To Parent All You Need To Know About Your Child S Teeth Huffpost Life

Meet Schoolboy Nicknamed Jaws With Two Sets Of Teeth Just Like A Shark Mirror Online

Meet Schoolboy Nicknamed Jaws With Two Sets Of Teeth Just Like A Shark Mirror Online

Adult Permanent Teeth Coming In Front Of The Child S Baby Teeth Shark Teeth Little Girl S Open Mouth 444198812 Larastock

Adult Permanent Teeth Coming In Front Of The Child S Baby Teeth Shark Teeth Little Girl S Open Mouth 444198812 Larastock

When Do Baby Teeth Fall Out Age Order Complications More

When Do Baby Teeth Fall Out Age Order Complications More

Baby Teeth Chart A Full Teething Timeline Pampers

Baby Teeth Chart A Full Teething Timeline Pampers

Pin On Social Stories For Elementary Special Education

Pin On Social Stories For Elementary Special Education

Curious Kids My Tooth Fell Out Why Is It So Spiky On The Bottom

Curious Kids My Tooth Fell Out Why Is It So Spiky On The Bottom

Guys Is It Normal For Bottom Baby Teeth To Come In This Crooked My Daughter Is 8 Months Old Never Saw Teeth Like This In A Baby S Mouth Before R Beyondthebump

Guys Is It Normal For Bottom Baby Teeth To Come In This Crooked My Daughter Is 8 Months Old Never Saw Teeth Like This In A Baby S Mouth Before R Beyondthebump

Chipped Teeth And Children Pediatric Dentist Children S Dental Specialty

Chipped Teeth And Children Pediatric Dentist Children S Dental Specialty

When Do Baby Teeth Start Falling Out

When Do Baby Teeth Start Falling Out

Management Of Ankylosed Primary Molars With Premolar Successors Aka Stuck Baby Teeth Dr Nima Massoomi Dmd Med Md

Management Of Ankylosed Primary Molars With Premolar Successors Aka Stuck Baby Teeth Dr Nima Massoomi Dmd Med Md

1

1

Tetracycline was observed to cause brownish discoloration of the babys teeth even when the little one was not administered the drug.

White spots seen on baby teeth are actually early tooth decay signs. They are caused by enamel mineral loss. With his baby teeth that were even slightly loose he wanted them pulled and would bring the pliers. Taking the antibiotic tetracycline during pregnancy can cause a child to have discolored baby teeth too. Tooth decay in toddlers can cause early childhood caries. It can appear as a small pit or dent in a tooth or discoloration with excess white yellow or brown. Foods with dense color pigmentation like blueberries raspberries blackberries beets and grapes. Take a look at Teething Baby Pictures to see more pictures of baby teeth coming in. This process is usually smooth with the baby teeth falling out with the permanent teeth then growing into those empty spaces.


From the moment your babys first tooth erupts its susceptible to decay caries and discoloration. Are you giving your baby iron or mineral supplements. Excessive use of Fluoride. They can form on the smooth sides of teeth. It also happened with an ex-boyfriends nephew. Infant medications containing iron such as supplemental vitamins may cause dark stains on baby teeth. Depending on the severity enamel hypoplasia can look like a small dent in the.

Post a Comment for "Baby Teeth Coming In Brown"